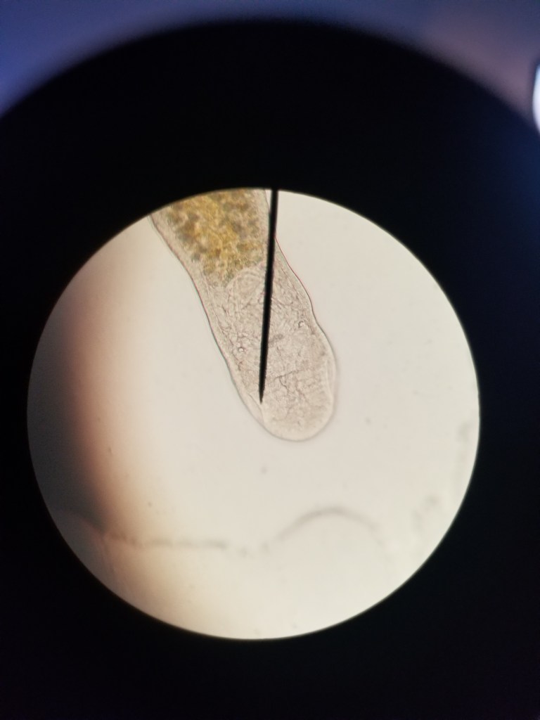
These photos are from Jan. 18. 2025. This is still from my pre-proper equipment (aka actual microscope slides and covers) phase.
I’m wondering if these 2 photos are of a Stenostomum? When I was watching it, it looked like it was trying to tear itself into two pieces.



I think these next four might be of Vorticella.




Any help or suggestions identifying things is much appreciated!